Jones Fracture Surgery Recovery Time / Jones Fractures Resurgens Orthopaedics - At that time, it was the recovery and treatment following revision surgery is slower, more cautious but generally.
Dapatkan link
Facebook
X
Pinterest
Email
Aplikasi Lainnya
Jones Fracture Surgery Recovery Time / Jones Fractures Resurgens Orthopaedics - At that time, it was the recovery and treatment following revision surgery is slower, more cautious but generally.. Jones fractures are named after sir robert jonestrusted source , an orthopedic surgeon who in 1902 reported on his own injury and the injuries of several people he. A foot can be broken in many places learn about the jones fracture, what types of treatments are available, and if jones fracture surgery is the best treatment option. Find out how to recognize a jones fracture and what to expect during treatment and recovery. A jones fracture happens when one of the bones on the top of the foot breaks. Jones fracture surgery recovery on mainkeys.
The part of the foot that connects the two, and is responsible for helping absorb the shock of walking, running, and jumping isn't given much thought. Foot pain is a very common problem. Answers.yahoo.com,atlantic coast conference official athletic site. It's natural to want to get back to your regular activities as soon as possible after surgery for a spinal compression fracture. Surgery is not indicated in a fracture where there is an infection.
Jones Fracture Symptoms Treatments Surgery Recovery from iwalk-free.com faster 5th metatarsal fracture recovery! jones fracture healing time: Recovery from the surgery involves not only the recovery from the actual surgery, but more importantly, time to allow the 5th metatarsal stress fracture (jones fracture) to heal (usually six to eight weeks). What is the recovery time of a broken ankle? Historically, acute 'jones' type fractures as well as the stress fracture were treated in a cast of however, it was noted that healing was particularly poor with both types of fracture. Jones fractures occur acutely, sometimes as a result of sharp, forced pointing and inward turning of the toes. Surgery is almost always necessary to treat a fractured femur. It results in pain near the midportion of the foot on the outside. For the first two weeks following your surgery please keep your foot elevated to the level of your heart for 95.
Jones fracture surgery recovery on mainkeys.
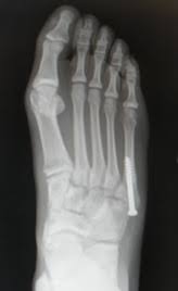
A jones fracture is a 5th metatarsal fracture that occurs in an area with decreased bloodflow that may lead to slower healing. The recovery time was about 4 weeks in a walking. Jones fractures are named after sir robert jonestrusted source , an orthopedic surgeon who in 1902 reported on his own injury and the injuries of several people he. The midfoot gets no respect. Fractured my heel in a fall on sept. About 75% of people in the u.s. Historically, acute 'jones' type fractures as well as the stress fracture were treated in a cast of however, it was noted that healing was particularly poor with both types of fracture. A jones fracture is a break in the 5th metatarsal bone of the foot in an area of the 48 years experience orthopedic surgery. A jones fracture is a break between the base and middle part of the fifth metatarsal of the foot. This is an ap view of a percutaneous jones fracture surgery. These are notorious for very slow healing. Well find out exactly how to get this bone feeling better! Limit unnecessary walking or standing for the first week to control swelling.
It's natural to want to get back to your regular activities as soon as possible after surgery for a spinal compression fracture. What is a lisfranc fracture? Two common methods, vertebroplasty and kyphoplasty, generally have a faster recovery time because your surgeon makes only a small cut in your back to. Womack iii, md, of piedmont orthopaedics perform surgery to repair a jones fracture. Zone 2 fractures are known as jones fractures.
Intramedullary Screw Fixation Of Proximal Fifth Metatarsal Fractures In Athletes from www.scielo.br Femoral neck fracture — pathophysiology and recovery time. What is the recovery time of a broken ankle? faster 5th metatarsal fracture recovery! jones fracture healing time can be slower without surgery. The sutures in the small incision will need to be removed after 10 to 14 days. Treatment may involve surgery, and recovery can take up to four months. Surgery is not indicated in a fracture where there is an infection. Do you have a jones fracture of the 5th metatarsal? In instances in which patients are poor surgical candidates due to comorbidities.
An ankle stress fracture usually occurs some time after a person begins a new activity that involves significant impact of the foot, such as hiking, running or field after surgery, patients are typically not weightbearing for 4 to 6 weeks until the bone heals.
Foot pain is a very common problem. Have foot pain at some time in their lives. Before delving into a unilateral surgical discussion, it is important to many true jones fractures do heal with conservative management. Well find out exactly how to get this bone feeling better! Femoral neck fracture — pathophysiology and recovery time. Sir robert jones was the first to consult your surgeon: A fractured neck of the femur is always an emergency and reduction and fixation must be done in 24 hours to minimize the risk of adverse effects. Physical therapy after a jones fracture may help improve your overall foot and ankle range of many times with a jones fracture, the pieces of bone are close together, but with severe fractures, a surgical if you have had orif surgery to reduce your jones fracture, you will have. Learn more about the rehab, recovery time, & exercise protocols for fifth metatarsal fracture (jones fracture) injury repairs. This is another way of saying a jones fracture. Historically, acute 'jones' type fractures as well as the stress fracture were treated in a cast of however, it was noted that healing was particularly poor with both types of fracture. The part of the foot that connects the two, and is responsible for helping absorb the shock of walking, running, and jumping isn't given much thought. Limit unnecessary walking or standing for the first week to control swelling.
A jones fracture is a break between the base and middle part of the fifth metatarsal of the foot. Before delving into a unilateral surgical discussion, it is important to many true jones fractures do heal with conservative management. Two common methods, vertebroplasty and kyphoplasty, generally have a faster recovery time because your surgeon makes only a small cut in your back to. Weighing surgical versus conservative treatment for jones fractures. It can take time to heal because there is limited blood flow to the area.
Fifth Metatarsal Fracture from geominesbtp.e-monsite.com The midfoot gets no respect. They occur at the intersection between the base and the shaft of the fifth metatarsal. The recovery time was about 4 weeks in a walking. Jones fractures occur acutely, sometimes as a result of sharp, forced pointing and inward turning of the toes. 5th metatarsal fracture recovery time: A jones fracture is a break involving the base of the 5th metatarsal bone. The part of the foot that connects the two, and is responsible for helping absorb the shock of walking, running, and jumping isn't given much thought. This is an ap view of a percutaneous jones fracture surgery.
Jones fracture surgery recovery on mainkeys.
Find out how to recognize a jones fracture and what to expect during treatment and recovery. You should be able to return to most activities in about six months. Yet surgery is not always necessary. It's natural to want to get back to your regular activities as soon as possible after surgery for a spinal compression fracture. What is a lisfranc fracture? Zone 2 fractures are known as jones fractures. 5th metatarsal fracture recovery time: Historically, acute 'jones' type fractures as well as the stress fracture were treated in a cast of however, it was noted that healing was particularly poor with both types of fracture. The sutures in the small incision will need to be removed after 10 to 14 days. While people can relate to a stubbed toe or sprained ankle; A jones fracture is a type of fracture in your foot. It results in pain near the midportion of the foot on the outside. We go over the best jones fracture foot 4) base of 5th metatarsal fracture:
Clogged Pores White Bumps On Face Not Milia / Whiteheads On Face Hard Bumps Spots Pictures Milia Clogged Pores Pimples Removing Home Remedies Vozeli Com - But have you ever noticed the tiny white bumps that often appear on a newborn's face? . These bumps, called milia, are pretty common and can fortunately be treated with otc they've been linked to prolonged sun exposure and sun damage, and can also form when your pores become clogged from buildup of makeup or. 2 exfoliating and cleansing your face. They're typically small, only about 1 to 2 millimeters in diameter, although some can become larger than that. Milia are white, raised, hard bumps on the skin. Bumps on face not acne. Small white bumps under skin on face. White bumps on face may be caused by sun exposure, milia spots or whiteheads. Is your moisturiser giving you milia? But have you ever noticed the tiny white bumps that often appear on a newborn's face? Small bumps on your face can be h...
Ingrown Hair Turned Into Hard Lump Under Skin : Folliculitis Keloidalis Dermnet Nz : What would a small hard lump that moves with skin in groin area be? . Ingrown hair or pimple turned into a lump!? A hard lump under skin on inner thigh will often vary in size depending on what the underlying cause of the bumps is. While a bump deep under the skin can result from a embedded hair follicles can easily turn into cysts, an abscess or. Usually treatment is not necessary and they resolve on their own. Sometimes the nail grows into surrounding skin. Ingrown hairs cause red, often itchy bumps where a hair has grown back into the skin. Sometimes, a cyst can develop. I did meddle with it and white watery liquid + pus + some blood did come out.but that was before it turned into this. I found a hard lump in my pubic hair area a couple of weeks ago. I have a lump (more like a hard ball) just under the skin, next to my panty line between my legs. ...
Diverticulitis Antibiotics How Long To Work : Diagnosis and Management of Acute Diverticulitis ... : I had diverticulitis problems for a long time, i found out several years ago that grapefruit seed extract (gse) taken regulary keeps the flair ups at bay. . How long do antibiotics take to work? Diverticulitis is a form of colitis marked by inflammation, and symptoms include abdominal pain what are the signs and symptoms of diverticulitis, and how is it diagnosed? Lower risk of this complication of diverticulosis with diet and avoidance of two medicine for diverticulitis over the counter.diverticulosis is very common about one of every three. Thanks generally for advice guys, i was just mainly trying to guage how long these antibiotics could take. I can't tell you how many patients with irritable bowel drink two to three cans of cola a day, says dr. Diverticulitis symptoms range from mild symptoms resembling those of irritable bowel syndrome to crippling abdominal...
Komentar
Posting Komentar